Роль ультразвукових досліджень у діагностиці гіпотиреозу
Підготувала Ганна Гаврюшенко
Гіпотиреоз, що виникає внаслідок низького рівня гормонів щитоподібної залози (ЩЗ), є одним із найпоширеніших ендокринних розладів. Він має різну етіологію та клінічні прояви, а за відсутності адекватного лікування призводить до зростання захворюваності та смертності.
Класифікацію гіпотиреозу за етіологічними чинниками наведено в таблиці. Основною причиною гіпотиреозу є йододефіцит, але в регіонах, де споживання йоду є достатнім, головним чинником розвитку гіпотиреозу є автоімунний тиреоїдит, або тиреоїдит Хашимото. За даними NHANES III (National Health and Nutrition Examination Survey), що ґрунтується на популяційному дослідженні, яке охоплює населення віком понад 12 років, поширеність клінічно вираженого гіпотиреозу серед дорослих у США становила 0,3%, а субклінічного гіпотиреозу – 4,3%. Чинниками підвищеного ризику хвороб ЩЗ, зокрема гіпотиреозу, є жіноча стать і старший вік пацієнтів.

Ультразвукові дослідження (УЗД) відіграють значну роль у діагностиці та лікуванні первинного гіпотиреозу, коли місцем ураження є безпосередньо ЩЗ. Показаннями до проведення УЗД ЩЗ є підвищений рівень тиреотропного гормону (ТТГ) або зоб, виявлений при пальпації ЩЗ.
Окрім того, УЗД ЩЗ рекомендовано виконувати з метою контролю перед вагітністю та під час неї.
За наявності відповідного клінічного анамнезу й результатів лабораторних досліджень УЗД у разі гіпотиреозу є важливими для диференційної діагностики, спостереження та прийняття терапевтичних рішень.
Сонографія ЩЗ у нормі
ЩЗ – це двочасткова залоза, розташована в передній частині шиї, перед трахеєю та по обидва боки від неї. Обидві частки простягаються вертикально та краніокаудально. Перешийок – це частина залози безпосередньо перед трахеєю, яка з’єднує частки ЩЗ. Трахея лежить краніокаудально за перешийком і має вигляд колони, наповненої повітрям. До задньобічних поверхонь обох часток ЩЗ прилягають загальна сонна артерія (медіально) та яремна вена (латерально). Глибоко в підшкірній жировій клітковині візуалізуються грудинно-під’язиковий, грудинно-щитоподібний, грудинно-ключично-соскоподібний м’язи та довгий м’яз шиї, які покривають ЩЗ. Грудинно-під’язиковий і грудинно-щитоподібний м’язи (підпід’язикові м’язи) лежать на передній частині залози, грудинно-ключично-соскоподібний розташований передньолатерально, а довгі м’язи шиї – позаду від залози. Стравохід розташований позаду лівої частки ЩЗ й іноді може містити повітря. Нормальний вигляд ЩЗ у поперечній площині показано на рисунку 1.

Завдяки своєму колоїдному вмісту нормальна ЩЗ має гіперехогенний вигляд порівняно з підпід’язиковими м’язами. Нормальну ехотекстуру ЩЗ визначають як рівномірну та гомогенну гіперехогенну. Вона має чітко окреслені периферичні межі. Передній край ЩЗ є пласким або увігнутим, як представлено на рисунку 2.

Нормальний розмір ЩЗ варіює залежно від статі та зросту пацієнтів. У дорослих у нормі розміри кожної частки становлять приблизно 5×2×2 см у сагітальному, передньо-задньому та поперечному вимірах відповідно. Перешийок вимірюється в поперечній площині, його верхня межа дорівнює 0,3 см. За перевищення цих розмірів вважається, що ЩЗ збільшена, тобто наявний зоб. Окрім вимірювань, на зоб указують опуклість передньої поверхні часток (у нормі передня поверхня зазвичай симетрична та має плаский або увігнутий край і виступ залози над передньою поверхнею загальної сонної артерії в поперечній площині. ЩЗ у нормі може виступати над поверхнею сонної артерії без збільшення; в цьому випадку важлива форма переднього контуру. Якщо вона пласка чи увігнута, зоб не діагностується. У дітей форма та контур залози є важливішими, ніж її розмір; ці показники використовуються для характеристики росту залози. При розрахунку об’єму ЩЗ використовують формулу еліпсоїда: ширина × довжина × висота × 0,523. Практичнішим методом визначення розміру ЩЗ є трахеальний індекс, що розраховується шляхом поділу суми поперечних діаметрів обох часток на поперечний діаметр трахеї. Нормальним діапазоном цього показника вважається 1,7-2,4. Практичні методи вимірювання зоба показано на рисунку 3.

Ультразвукова картина при різних етіологічних чинниках гіпотиреозу
Дисгенезія ЩЗ
Атиреоз – це наявність порожнини в щитоподібному ложі, спричинена агенезією або ектопією ЩЗ. При атиреозі наявність ехогенних трикутників (зазвичай менших за 5 мм) по обидва боки трахеї, що являють собою залишки ультимобранхіального тільця та сполучної тканини, може бути помилково інтерпретована як гіпопластична чи диспластична ЩЗ. Ці гіперехогенні тканини, що іноді містять мікрокісти, демонструють мінімальний або повністю відсутній кровоток на кольоровій доплерографії. Ультразвукова картина атиреозу, спричиненого агенезією ЩЗ, показана на рисунку 4.

Через особливості ембріології ЩЗ при виявленні в пацієнта атиреозу потрібне сканування шиї згідно з ембріологічним міграційним шляхом ЩЗ, від основи язика до верхнього середостіння по середній лінії. Ектопічна ЩЗ може перебувати в лінгвальному, сублінгвальному, гіоїдному, інфрагіоїдному та середостінному положеннях. Лінгвальна ЩЗ є найпоширенішою формою ектопії ЩЗ та виявляється в 75% пацієнтів із функціональними тиреоїдними тканинами в разі вродженого гіпотиреозу. На УЗД-знімках ектопічна тиреоїдна тканина має чітко окреслену овальну форму, а на кольоровій доплерограмі вона зазвичай гіперваскулярна. У неонатальному періоді ектопія може не проявлятися завдяки достатньому виробленню тиреоїдних гормонів, тоді як у ранньому дитинстві через зростання потреби в гормонах ЩЗ може проявитися гіпотиреоз. Виявлення ектопічної ЩЗ при сцинтиграфії залежить від розміру та функціональної активності залози. Ретростернальні, ендоларингеальні або ендотрахеальні ектопічні ЩЗ у середостінні зазвичай не виявляються сонографічно, в цьому випадку потрібне сцинтиграфічне дослідження. Клінічні випадки язикових ектопічних утворень ЩЗ представлено на рисунку 5.

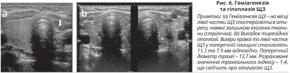
Атиреоз і залишкові ехогенні тканини в ложі ЩЗ, що є двобічними при агенезії, при геміагенезії є однобічними. Геміагенезія ЩЗ може бути випадковою знахідкою в безсимптомних еутиреоїдних пацієнтів, а в дітей ця аномалія може проявлятися зниженням рівнів тиреоїдних гормонів у підлітковому віці, коли потреба в них є високою. На УЗД-знімках може спостерігатися однобічна відсутність частки ЩЗ і наявність нормальної або збільшеної частки на протилежному боці.
Сцинтиграфія може бути використана як додатковий метод діагностики з метою виключення будь-якої додаткової ортотопічної/ектопічної функціональної тиреоїдної тканини.
Гіпоплазія ЩЗ є причиною 5% випадків уродженого гіпотиреозу. На УЗД-знімках залоза зазвичай гіпоехогенна, ортотопічна, нормальної форми та нормального розміру або зменшена для свого віку. Гіпоплазію можна діагностувати в новонароджених із трахеальним індексом <1,7 і низьким поглинанням на сцинтиграфії. Геміагенезія та гіпоплазія ЩЗ показані на рисунку 6.

Хронічний лімфоцитарний тиреоїдит (хвороба Хашимото)
Хронічний лімфоцитарний тиреоїдит є найпоширенішою формою тиреоїдиту, близько 10% населення США та приблизно 25% жінок віком понад 65 років мають антитіла до тиреоїдної пероксидази (АТПО). При автоімунному тиреоїдиті Хашимото клітини ЩЗ руйнуються через клітинний і антитіло-опосередкований імунний процес. Пошкодження починається з утворення антитиреоїдних антитіл, які атакують тканину ЩЗ і, зрештою, призводять до прогресивного фіброзу. Лабораторними маркерами хронічного лімфоцитарного тиреоїдиту є підвищений рівень ТТГ, низький рівень тироксину (Т4) і високий рівень АТПО, хоча в 10-15% осіб із клінічно вираженим захворюванням сироваткові антитіла не виявляються. Жінки хворіють у 10 разів частіше, ніж чоловіки; найчастіше захворювання діагностується у віці 20-50 років. Ключовою особливістю тиреоїдиту Хашимото є інвазія паренхіми ЩЗ лімфоплазмоцитарними клітинами, при цьому на УЗД-знімках виявляють збільшення ЩЗ, її неоднорідність і дифузне зниження ехогенності. Сонографічно клінічний перебіг варіює від гетерогенної та гіпоехогенної паренхіми до фіброзу й атрофії залози. У пацієнтів із хронічним лімфоцитарним тиреоїдитом може розвинутися первинна лімфома ЩЗ, частота якої серед злоякісних пухлин ЩЗ становить менш як 5%. Первинну лімфому ЩЗ слід запідозрити в разі швидкого збільшення розмірів раніше атрофованої залози та за наявності системних проявів.
Ультразвукові патерни хвороби Хашимото
Основні ультразвукові патерни хронічного лімфоцитарного тиреоїдиту, до яких належать гіпоехогенні та гетерогенні, псевдомікронодулярні, псевдомакронодулярні, виразно гіпоехогенні та фіброзно-атрофічні зміни, представлено на рисунку 7. Фіброз і атрофія зазвичай є пізніми проявами тиреоїдиту Хашимото, проте будь-які інші патерни не є послідовними у своєму виникненні й можуть спостерігатися на ранніх стадіях захворювання.

Кольорове доплерографічне картування (КДК) – це метод, який доповнює оцінку при УЗД ЩЗ та надає інформацію про її васкуляризацію. Результати КДК за хвороби Хашимото можуть відрізнятися залежно від стадії захворювання. На ранній стадії та в гострій фазі (зазвичай у разі хашитоксикозу, тобто тиреотоксикозу з руйнуванням ЩЗ) може спостерігатися підвищене кровопостачання залози, асоційоване з ТТГ-опосередкованою трофічною стимуляцією. Результати доплерографії можуть вказувати на дифузну гіперваскуляризацію, подібну до картини дифузного токсичного зоба. На пізніх стадіях захворювання КДК демонструє зменшення доплерівських сигналів через розвиток інтенсивного фіброзу й аваскулярності ЩЗ. Випадок хашитоксикозу показано на рисунку 8.

Лімфатичні вузли та мікрокальцифікація при хворобі Хашимото
Під час УЗД ЩЗ у пацієнтів із тиреоїдитом Хашимото часто візуалізуються аномальні лімфатичні вузли, виявлені в центральному компартменті й на III та IV рівнях. Знання характеристик асоційованих із захворюванням реактивних збільшених лімфатичних вузлів важливо для уникнення інвазивних непотрібних біопсій для виключення метастатичних або лімфопроліферативних захворювань.
Здоровий лімфатичний вузол має веретеноподібну форму та складається з гіперехогенних жирових воріт з аферентно-еферентними судинами, більш гіпоехогенної кори товщиною <3 мм. Вимірювання лімфовузлів здійснюється шляхом визначення розмірів довгої та короткої осей, які є перпендикулярними одна до одної в площині, де лімфатичний вузол є найдовшим. При УЗД голови та шиї вважається, що довжина короткої осі більш ніж 1 см свідчить про патологічне збільшення лімфовузла, проте чітких правил щодо визначення злоякісності лімфовузлів за розмірами не існує. Отже, форма лімфатичного вузла, товщина кори та наявність жирових воріт є важливішими у визначенні патологічних змін.
У разі хвороби Хашимото й інших інфекційних і запальних процесів відзначається реактивне збільшення лімфатичних вузлів, за якого не виявляються ознаки злоякісності (яйцеподібна чи округла форма, відсутність гіперехогенності жирових воріт через інфільтрацію, наявність кровопостачання поза жировими воротами). Реактивний лімфатичний вузол має бути веретеноподібної форми, мати гомогенну гіпоехогенну кору та гіперехогенні жирові ворота. За реактивного збільшення лімфатичних вузлів відсутні мікрокальцифікати та кістозні зміни, які є патогномонічними ознаками метастазування папілярного раку ЩЗ. Окрім того, за хвороби Хашимото реактивні лімфовузли локалізуються в претрахеальній і перитиреоїдній ділянках.
На рисунку 9 показано різні типи лімфатичних вузлів, виявлених при УЗД ЩЗ.

Дифузна мікрокальцифікація ЩЗ є одним із рідкісних проявів хвороби Хашимото. Мікрокальцифікати – це гіперехогенні вогнища діаметром 1-2 мм, які не дають задньої акустичної тіні. Наявність мікрокальцифікації є однією з патогномонічних ознак папілярного раку ЩЗ і потребує проведення тонкоголкової аспіраційної біопсії з подальшим цитологічним дослідженням для виключення злоякісного процесу. Мікрокальцифікація за хвороби Хашимото показана на рисунку 10.

Підгострий гранулематозний тиреоїдит (тиреоїдит Де Кервена)
Підгострий тиреоїдит Де Кервена виникає внаслідок імунної відповіді після перенесеної вірусної інфекції або інфекції верхніх дихальних шляхів. Для клінічної картини тиреоїдиту Де Кервена характерні гострий біль у шиї, болісний на дотик зоб і системні симптоми, як-от лихоманка, втомлюваність, дисфагія, втрата ваги, високі рівні ШОЕ або С-реактивного білка, зниження ТТГ. У гострій фазі захворювання може спостерігатися гіпертиреоз, який зазвичай змінюється гіпотиреозом тривалістю 6-18 місяців, після чого пацієнти повертаються до еутиреоїдного стану. Типова ультразвукова картина ЩЗ характеризується наявністю неоднорідних, нечітко окреслених гіпоехогенних ділянок зі зниженим кровотоком в одній або обох частках із залученням тиреоїдної паренхіми. Іноді картину описують як «лавовий потік» із дифузними та злитими гіпоехогенними ділянками. Отже, в гострій фазі тиреоїдиту Де Кервена на УЗД-знімках можна побачити гіперваскуляризацію ЩЗ, тоді як для підгострої фази характерна дифузна гіповаскуляризація залози. Випадок підгострого гранулематозного тиреоїдиту представлено на рисунку 11.

Безбольовий тиреоїдит (тихий і післяпологовий)
Безбольовий тиреоїдит – це збірне поняття, що включає в себе тихий і післяпологовий тиреоїдити. Тихий тиреоїдит вважається транзиторною формою тиреоїдиту Хашимото, для котрої характерні нижчі рівні антитиреоїдних антитіл, і часто діагностується в жінок у віці 30-50 років. Післяпологовий тиреоїдит виникає протягом 1 року після пологів, спостерігається в 10% вагітностей, а рекурентний ризик за наступних вагітностей становить близько 70%. Тиреотоксична фаза післяпологового тиреоїдиту зазвичай має легкий перебіг і триває 1-2 місяці; гіпотиреоїдна фаза здебільшого є транзиторною та триває 4-6 місяців. Для безбольового тиреоїдиту при УЗД характерна гіпоехогенність ЩЗ. На відміну від хвороби Хашимото при безбольовому тиреоїдиті гіперехогенні фіброзні смуги та виразна гіпоехогенність ЩЗ зазвичай не виявляються.
Висновки
Ультрасонографія є незамінним діагностичним інструментом за гіпотиреозу, що може спостерігатися в усіх вікових групах. Знання характерних ультразвукових ознак хвороби Хашимото, яка є однією з найпоширеніших причин гіпотиреозу, є вкрай важливим для діагностики цього захворювання, особливо в пацієнтів без підвищення титрів тиреоїдних автоантитіл. Гіпоехогенність є ключовою ознакою гіпотиреозу. Лімфатичні вузли шиї можуть збільшуватися при інфекціях, запальних захворюваннях, лімфопроліферативних і злоякісних процесах, тому важливо відрізняти реактивне збільшення лімфовузлів від патологічного, що свідчить про онкологічний процес. На користь реактивного збільшення лімфатичного вузла свідчать такі ультразвукові ознаки, як веретеноподібна форма, гіперехогенні жирові ворота та кровопостачання лімфовузла тільки через судини жирових воріт, гомогенна й тонка кора, а також відсутність кістозних змін або мікрокальцифікації. Дифузна мікрокальцифікація є одним із рідкісних проявів хвороби Хашимото та потребує проведення тонкоголкової біопсії для виключення папілярного раку ЩЗ.
Література
Hakan Baş. The role of ultrasound in hypothyroidism, technique, differential diagnosis and follow-up. Published: September 21st, 2021. Available at: https://www.intechopen.com/chapters/78562. DOI: 10.5772/intechopen.99989.